아데노이드형 얼굴은 아이들이 건강하지 않은 상태에서 발생하는 것이므로, 증상이 나타난다면 무시하지 말고 적극적으로 치료해야 합니다. 아데노이드가 너무 커지게 되면 코로 숨 쉬는 통로를 막아 수면무호흡증 및 비염 증상을 유발하게 됩니다. 또한 얼굴 형태를 변화시키므로 입으로 숨을 쉰다면 우리 아이에게 비대증이 있는지 확인하고 꼭 치료해야 합니다.
어릴 때 ‘입호흡습관’ 버리지 못하면 커서 아데노이드형 ‘말상’ 얼굴 될 수 있어…
주요 원인
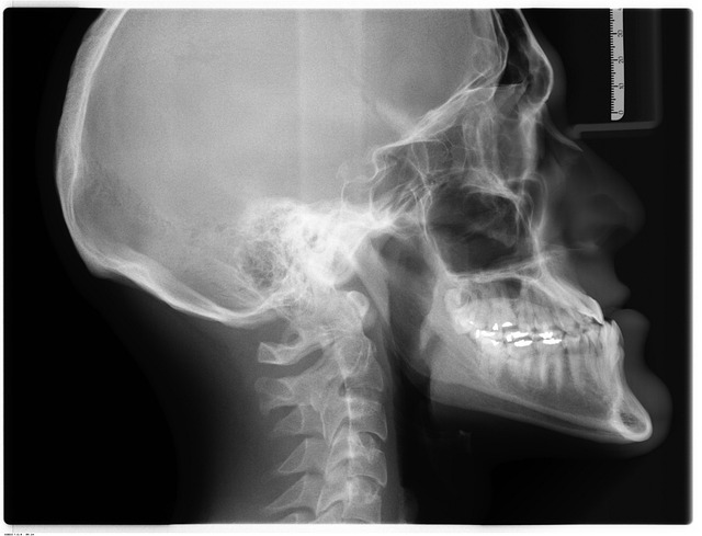
아데노이드란 편도선의 일종으로 목젖 양쪽에 위치하며 코와 입을 통해 들어오는 세균과 바이러스 등 이물질을 걸러내는 역할을 합니다. 일반적으로 3에서 7세 아이들에서 주로 발견되며, 건강 문제를 일으키거나 얼굴 형태에 영향을 미치는 경우가 많습니다. 그러나 나이가 들어감에 따라 자연적으로 작아지기 때문에 성인에서는 찾아보기 힘듭니다. 바이러스나 세균 등에 감염될 수 있으며 주로 감염된 경우에는 콧물, 재채기, 인후통, 발열 등의 호흡기감염증과 유사한 증상이 나타납니다. 아이들에서는 감염이 잦은데, 그 이유는 아이들의 면역력이 성인에 비해 낮기 때문입니다.


방치하게 된다면
아이들에서는 수면무호흡증의 원인이 되기도 합니다. 수면무호흡증은 수면 중에 호흡이 멈추는 현상으로, 아이들에서는 수면무호흡증은 수면의 질을 저하시키고, 일상생활에서의 집중력과 기억력을 감소시키며, 행동 및 감정에 영향을 미칠 수 있습니다. 당연히 학업 성취도는 떨어지고 삶의 질 또한 저하됩니다. 사춘기가 되면 외모에 대한 관심이 커져 더욱 큰 갈등과 문제를 불러일으키기도 합니다.
아데노이드형 얼굴 특징
아데노이드 비대증은 아이들 중 매우 흔히 발생하는 건강 이슈 중 하나이며, 호흡곤란, 비염, 수면무호흡증 등 다양한 증상을 유발합니다. 비대증으로 인해 아이들이 숨쉬기가 힘들어지면, 입으로 숨을 쉬거나 바깥으로 내쉬기 때문에 공기 중 남아 있던 과다한 이산화탄소를 배출하기 힘들어집니다. 이러한 과정에서 긴 시간 동안 이산화탄소가 쌓이면서 아이의 얼굴이 변형됩니다. 이때, 과도한 조직이 얼굴 각 부분에 압력을 가하기 때문에, 그 결과 얼굴이 어긋나게 되고 "아데노이드형 얼굴"로 불리게 됩니다. 어떤 형태인지에 따라 발표 간격, 코 활약, 입술, 얼굴 각도 등이 변하거나, 짧은 턱, 얕은 고개 등이 나타날 수 있습니다.


우리 아이도 아데노이드 비대증인가요?
아이들이 잠을 잘 때 입으로 숨을 쉬거나 호흡곤란 증세를 보인다면 의심해봐야합니다. 또한 아침에 일어났을 때 입안이 건조하거나 코피가 자주 난다면 의심해 볼 수 있습니다. 이러한 증상들을 보이는 경우 병원에 내원하셔서 정확한 진단을 받아보시는 것이 좋습니다.
예방조치
아데노이드 감염은 예방이 가능한 질환입니다. 일상생활에서는 개인위생을 철저히 지키는 것이 중요합니다. 예를 들어, 손 씻기, 마스크 착용, 기침 및 재채기 시에는 옷소매나 휴지로 입을 가리기 등을 실천해야 합니다. 또한, 환기를 잘하고 공기질을 좋게 유지하는 것도 중요합니다. 더불어, 일상적인 운동과 건강한 식습관을 유지하고 면역력을 강화하는 것이 예방에 큰 도움이 됩니다.
치료법
치료하는 방법은 원인과 연관된 문제를 해결하는 것이 중요합니다. 무조건 적인 수술인 아닌 약물 치료로 가능한 경우도 있습니다. 또한 코로 숨 쉬는 것을 훈련시키는 것도 도움이 됩니다.
1. 약물 치료
1) 항생제/항염증제 사용
감염이나 염증을 덜어주기 위해 전문가의 처방에 따라 사용합니다.
2) 습기 제거제
습기 제거제를 사용하여 비강의 점액 및 축적물을 제거합니다.
2. 수술
수술은 전신마취 후 진행되며 내시경을 이용해서 아데노이드를 제거 합니다. 성인의 경우 대부분 부분마취로도 수술이 가능하지만 소아의 경우 기도 확보를 위해 전신마취하에 수술을 진행합니다. 최근에는 피타수술이라는 새로운 수술방법이 도입되어 통증 감소 효과가 있습니다.
1) 아데노이드 절제술
크기를 줄이거나 완전히 제거하여 호흡과 코 주변의 구조 문제를 해결합니다.
2) 비중격 부력 고정술
비강 공간을 확보하여 더 나은 호흡을 촉진합니다.
3. 보철 및 치료적 교정

1) 보철 치료법
얼굴이 치아 포락 및 턱 구조에 영향을 미치는 경우 턱 변화를 통해 교정할 수 있습니다.
2) 교정용 장치
치과 전문의가 추천하는 다양한 교정용 장치를 사용할 수 있습니다.
치료 시 주의사항
1. 치료 기간과 계획
치료는 시간과 노력이 필요하므로, 기대치를 현실적으로 설정하고 치료 기간과 계획을 철저하게 준수해야 합니다. 당연히 부모의 기대치는 100% 정상적인 모습을 원하는 것이지만 실제 효과는 기대보다 떨어질 수 있다는 것을 염두해야 합니다. 또한 아이가 성장과정에서 외모의 스트레스를 받는다면 잘 보듬어 주는 게 필요합니다.
2. 전문가 상담
1) 적절한 전문가 찾기
이상증상이 발생할 경우 전문가와 상담하여 즉시 대응합니다. 가까운 병원을 찾기보다는 분야의 뛰어나고 다양한 경험이 있는 의사를 찾아야 합니다.
2) 주기적인 검진
치료 과정 중 발생할 수 있는 문제를 사전에 인지하고 치료 진행 상황을 확인하기 위해 주기적으로 전문가에게 검진을 받습니다. 꾸준한 치료는 필수입니다.
결론
아데노이드 감염의 증상이 나타날 경우에는, 조기에 의료진의 진료를 받는 것이 중요합니다. 의료진은 감염의 원인을 파악하고, 적절한 치료를 제공합니다. 치료는 원인과 연관된 문제를 해결하는 것이 중요하며, 여러 치료법을 통해 이를 개선할 수 있습니다. 근본적인 원인을 찾아내고 적절한 치료법을 적용하면 단기간에 성공적인 결과를 얻을 수 있습니다. 하지만 치료 과정에서 현실적인 기대치 설정 및 주의사항 준수가 중요하며, 전문가와의 상담 및 지속적인 노력을 통해 완전한 회복을 기대할 수 있습니다.
타이레놀 효능과 직구하면 반값?
타이레놀(Tylenol)은 세계적으로 널리 알려진 해열진통제로, 두통이나 다양한 통증과 염증 완화를 위해 복용합니다. 코로나19가 한창일 때는 약국에 재고가 없어 구하지 못하는 사태를 일으키기도
crownu100.com
종아리 마사지기 안쓰면 심부정맥혈전증?
장시간 앉아 있는 분들은 항상 몸이 무겁게 느껴집니다. 심지어 종아리만 만져봐도 건강상태를 알 수 있습니다. 통증의 원인은 하체에 집중된 혈액 순환이 잘 되지 않는 게 주된 이유입니다. 심
crownu100.com
딸꾹질 100% 멈추는법과 원인 10가지
딸꾹질은 일반적으로 다양한 원인에 의해 발생할 수 있습니다. 간단한 딸꾹질은 일시적이거나 무해한 경우가 많지만, 딸꾹질이 지속된다면 심각한 불편과 건강 문제를 초래할 수도 있습니다.
crownu100.com
'100세 시대 건강하게' 카테고리의 다른 글
| 99% 성공하는 뱃살 빼는 법, 뱃살빼기 비법 대공개 (0) | 2023.05.25 |
|---|---|
| 아르기닌 효능 및 부작용 제대로 알고 계신가요? (0) | 2023.05.24 |
| 냉동밥 칼로리 절반으로! 다이어트 음식 몰랐나요? (0) | 2023.05.22 |
| 다이어트는 식단이 90%!! 혹시 아직도 운동만 하고 있나요? (0) | 2023.05.19 |
| 국민체력 100, 등급별 돈도 벌고 건강해지는 방법 (0) | 2023.05.12 |

댓글